دندان های اضافه میتوانند در فک کودکان مشابه سایر دندان های کودک و گاهی متفاوت از شکل سایر دندان ها طبیعی داخل فک به وجود آیند و رشد کنند. شایع ترین دندان های اضافه در کودکان مزیودنس هست. مزیودنس دندانی است که به شکل مخروطی بین دو دندان قدامی (دندان های خرگوشی شکل) ایجاد می شود و میتواند اختلالاتی را در رویش دندان های دائمی ایجاد کند.
توجه داشته باشید رادیوگرافی های دوره ای که دندانپزشک اطفال از کودک شما درخواست میکند ، فقط به دلیل پوسیدگی دندان و تشخیص دندان های نهفته نیست. بلکه این رادیوگرافی ها میتوانند به تشخیص های مهم در مورد تعداد جوانه های دندان کمک شایان توجهی کنند . برای مثال آیا تعداد این دندان های دائمی درست است و یا کمبود جوانه دندان دایمی ( میسینگ دندان ) وجود دارد یا خیر؟! و یا اینکه مسیر رویشی دندانهای دایمی باز هستند یا خیر ؟! و مواردی از این دست ….
جوانه های دندان میتوانند به علل مختلفی مانند ژنتیک به دو نیم تقسیم شوند. در واقع دندان های اضافه در دهان کودک میتوانند به دنبال دو نیم شدن یک جوانه دندانی ایجاد شود.
اگر کودک به صورت مرتب تحت نظر دندانپزشک اطفال باشد و چکاپ های دوره ای به صورت منظم انجام شود، این مشکلات زود تر تشخیص داده می شود و در صورت نیاز جراحی انجام می شود تا خارج شود. زیرا در خیلی از مواقع مزیودنس مانع از رویش دندان دائمی، انحراف دندان دائمی و آسیب زدن به دندان های دائمی و در خیلی از مواقع باعث نهفته ماندن دندان مذکور خواهد شد.
مورد دیگری که بسیار دیده می شود ادونتوم ها هستند که در قسمت های مختلف دهان دیده می شوند. ادونتوم ها توده هایی هستند که پر از جوانه های دندانی هستند که این جوانه ها شکل نرمال دندان را ندارند و در صورت تشخیص باید هر چه سریعتر خارج شوند.
دلایل ایجاد دندان اضافه در کودکان
زمانی که تعداد جوانه های دندان دائمی کودک بیشتر از حد نرمال (یعنی 32 عدد) باشد در آن صورت وجود دندان اضافه در دهان تشخیص داده می شود که در بیشتر مواقع در قسمت قدامی فک بالا و گاهی در قسمت های مختلف دهان دیده می شود. یکی از مهم ترین علل ایجاد این مشکل ژنتیک است. ممکن است در خانواده های پدر و یا مادر، فردی با این مشکل وجود داشته باشد که حتی گاهی در این افراد دندان نهفته باقی مانده و در سنین بالا تر به دلیل انجام پروتز و رادیوگرافی تشخیص داده شده است. در برخی موارد به دنبال سندروم هایی مانند شکاف کام، کلیدوکرانیال دیسپلازی و یا سندروم گاردنر و …..شاهد جوانه های دندانی بیشتر در فرد خواهیم بود .
مشکلات ناشی از دندان اضافه در کودکان
در صورتی که کودک در هر بخشی از دهان اعم از فک بالا و پایین ، جوانه دندان اضافه داشته باشد ، در صورت عدم تشخیص و درمان ، ممکن است شاهد عوارضی در رویش دندان دایمی ، آسیب به ریشه دندانهای مجاور و …… باشیم.
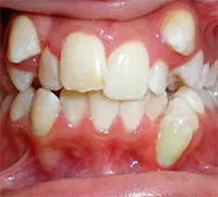
گفتنی است در اینصورت دندان دائمی کودک نهفته میماند ، زیرا در مسیر رویش دندان هایش یک دندان اضافه قرار گرفته و تا زمانی که این جوانه دندان اضافه از فک کودک خارج نشود، دندان دائمی نمیتواند رویش کند. اگر والدین برای این مساله پیگیری های لازم را نکنند ممکن است در آینده نیاز به جراحی برای خارج کردن این دندان و حتی دندان دایمی کودک باشد. زیرا فشار دندانهای اضافی به ریشه دندانهای دایمی کودک ، میتواند باعث از بین رفتن ریشه دندان دایمی در کودک شود . همچنین دندان های اضافه میتوانند باعث بهم ریختگی و شلوغی دندان ها در فک کودک شوند و با فشاری که به جوانه دندان های مجاور می آورند باعث می شوند که دندان ها در مسیر رویشی صحیح قرار نگیرند. برخی از این دندان های اضافی هم خود به خود رویش میکنند و ظاهری نامناسب را ایجاد کرده و با فشاری که هنگام رویش ایجاد میکنند میتوانند سایر جوانه های دندانهای دایمی را جا به جا کنند .
بیشتر بخوانید: علت کج درامدن دندان های شیری
برای جلوگیری از عوارض فوق لازم است چکاپ های دوره ای انجام شده و در صورت لزوم رادیوگرافی های دوره ای از کودک تهیه شود تا جوانه های دندانهای دایمی از نظر شکل ، مسیر رویش ، تعداد و …..مورد بررسی قرار گیرد .
آیا میدانید وجود دندان اضافه در دهان کودک چگونه باید تشخیص داده شود؟
در پاراگراف های قبل در مورد انواع دندان های اضافه، دلایل ایجاد آن و همچنین مشکلات ناشی از آن ها صحبت کردیم.
اگر دندانی از کودکتان رویش کرده ولی دندان مجاور بعد از مدتی طولانی هنوز رویش نکرده و یا دندان ها بسیار بی نظم، نا مرتب و با فاصله رویش کردند ، احتمال وجود دندان اضافه در مسیر رویش نباید دور از ذهن باشد . لازم به ذکر است بهترین و قاطع ترین روش برای تشخیص دندان های اضافه انجام رادیوگرافی و سی بی سی تی CBCT میباشد . این دو مورد در کنار هم مشخص خواهد کرد که دندان اضافه در چه موقعیتی قرار دارد و برای حذف دندان مذکور باید از چه روشی استفاده کرد .
دندانپزشک کودکان با توجه به معاینه دندان های کودک ، بررسی رادیوگرافی و نیز سایر روشهای کمک تشخیصی ، درمان مناسب را پیشنهاد خواهند کرد . اکثر مواقع این دندان های اضافه به دلیل ظاهر غیر نرمال باید خارج شوند و در موارد نادر به دلیل میسینگ دندان اصلی ممکن است دندانپزشک تشخیص دهد که دندان اضافه خارج نشده و با کمک درمان های ارتودنسی در جای مناسب خود قرار گیرند.


